News
All the latest press releases, opinion and announcements from Birmingham Health Partners and its member organisations
Launch of new international medical code for presymptomatic type 1 diabetes
Researchers at BHP founder-member the University of Birmingham have partnered with NHS England to produce a diagnostic code tailored for individuals in the early phases of type 1 diabetes, enhancing…
New Inflammatory Bowel Disease testing protocol could speed up diagnosis
Patients with suspected inflammatory bowel disease (IBD) could benefit from improved testing protocols that could reduce the need (and lengthy wait) for potentially unnecessary colonoscopies, a new s…
Objective biomarker test could predict heart disease risk for patients with common arrhythmia
Patients with atrial fibrillation (AF) – a common heart arrhythmia – could have one blood test to assess their risk of cardiovascular events in the following five years, new research has found.
Pu…
Understanding pregnancy: Accelerating the development of new therapies for pregnancy-specific conditions
During pregnancy, women and pregnant individuals who do not identify as women* can develop a range of pregnancy-specific conditions, such as preeclampsia and gestational diabetes, that can adversely…
Birmingham scientists win funding to develop ‘lollipops’ for mouth cancer diagnosis
A ‘lollipop’ that can diagnose mouth cancer early could become a reality, thanks to a pioneering project funded by Cancer Research UK and the Engineering and Physical Sciences Research Council (EPSRC…
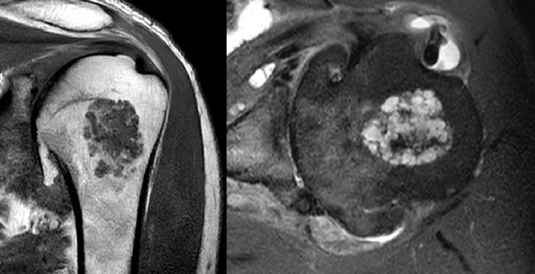
Revolutionising diagnosis and management of cartilage tumours
The musculoskeletal radiology department at BHP member the Royal Orthopaedic Hospital (ROH) has developed a new website designed to enhance the diagnosis and management of cartilage tumours.
bacti…